quarta-feira, 8 de dezembro de 2010

Algumas Doenças Transmitidas polo Ar

Microórganismo são organismos muitos pequenos, que só podem ser vistos com o instrumento conhecido como microscópio.

O resfriado é provocado por outris tipos de vírus e não acostuma deixar a pessoa muito fraca. Geralmente não há febre.

Outra virose(indica qualquer doença causada por vírus) comumente treansmitida pelo ar é a caxumba. O vírus da caxumba ataca as glândulas salivares, deixando-as inchadas. Um sintoma visível é o inchaço da região abaixo das orelhas. Pode atacar também outros órgãos.

A poliomielite, conhecida também como paralisia infantil ou pólio, é mais comum em crianças. É causada por um vírus transmitido por gotas de salivas de indivíduos doentes, suspensas no ar, e também por águas e alimentos contaminados com fezes.

A meningite pode ser provocada por bactérias ou por vírus. A meningite meningocócica é causada pelas bácterias conhecidas como meningococo. Afeta as membranas chamadas meninges, que envolvem o sistema nervoso(o cérebro e a medula).

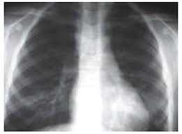
A tuberculose é provocada por uma bactéria que ataca geralmente os pulmões, sendo transmitida por gotículas eliminadas para o ar pela tosse do doente.

A radiografia(Imagem á esquerda) dos pulmões ajuda o médico a diagnosticar a tuberculose(embora essa doença não ataque apenas os pulmões).

Nenhum comentário: